Case Studies
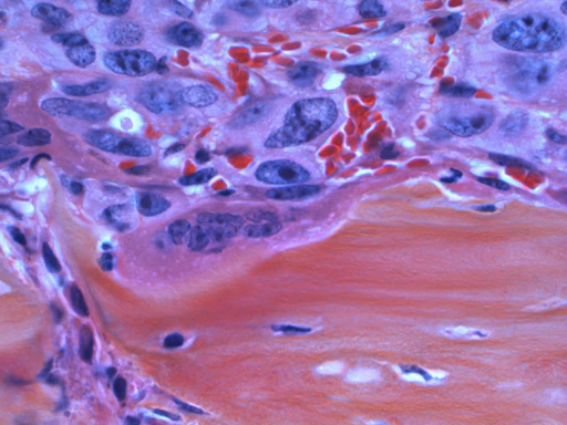
Computer Vision in Oncology: Decoding Lung Cancer Data from Images to Genetics
By leveraging advanced computer vision to extract mathematical "fingerprints" from microscopic lung cancer images, this case study demonstrates how AI can accurately predict underlying genetic mutations and patient survival outcomes to accelerate precision oncology.
Deep Data Expertise in Action: Decoding the Hidden Causes of Industrial Gearbox Failures
Using advanced machine learning, this applied research successfully identifies the specific chemical roots of catastrophic White Etching Cracks (WEC) in wind turbine lubricants, enabling a new generation of predictive analytical maintenance to prevent critical drivetrain failure.
Data-Driven Quality Control for Semiconductor Deposition Machinery
Automating the analysis of diagnostic sensor data empowers semiconductor manufacturers to preemptively detect hidden machine deviations and prevent costly production downtime before it impacts product yield.
Driving Efficiency, Competitiveness, and Sustainability with industrial analytics.
Contact
Updates
+49 176 21044135
© 2025-2026. All rights reserved.


Machinalytics
